ЭСТЕТИЧЕСКАЯ РЕСТАВРАЦИЯ
В той или иной степени реставрация нужна более 90% взрослого населения.
Однако до кабинета врача с этим вопросом доходит не более 10%. Просто потому, что многие и не подозревают, что получить безукоризненные зубы сегодня очень просто.
Реставрация зубов позволяет:
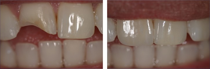
- восстановить первоначальную форму зуба (в случае сколов, при сильном разрушении в результате кариеса)
- изменить существующую форму зуба
- выровнять положение зубов (убрать излишний наклон, уменьшить выпирание вперед)
- убрать межзубные щели
- восстановить натуральный цвет

Как выполняется реставрация?
После подготовительного этапа врач наносит слоями специальный материал (композит), постепенно формируя новый зуб,который идентичен настоящему. При необходимости используются штифты. Здоровая часть зуба при этом не затрагиваются.
В результате за 2-3 приема и несколько часов, проведенных в кресле, вы получаете идеальные зубы. В некоторых случаях устранить проблему возможно уже в день обращения.
Для реставрации в нашей клинике используются материалы последнего поколения. Полная палитра цветов позволяет воссоздавать зубы, полностью совпадающие по цвету с настоящими, а инновационные методики гарантируют высокую эстетику конечного результата.




